A brief introduction to Neuroblastoma Cancer in Children, what signs and symptoms to look out for and various treatment options. This post is purely for general information purposes and by no means replace the advice of a medical practitioner. For an in-depth explanation please see Cancer Association of South Africa (CANSA) Fact Sheet on Childhood Neuroblastoma.
WHAT IS NEUROBLASTOMA?
Neuroblasts are immature nerve cells found in unborn babies. Normal neuroblasts mature into nerve cells or adrenal medulla cells (cells found in the centre of the adrenal gland). A neuroblast that does not mature properly can continue to grow, which leads to Neuroblastoma. However, babies are sometimes born with small clusters of neuroblasts that eventually mature into nerve cells and do not become cancer.
Neuroblastoma develops most often in infants and children younger than 5, and is more common in males. It can form before the baby is born and can sometimes be found during a prenatal ultrasound. however, Neuroblastoma is most often found after the cancer has spread to other parts of the body such as the lymph nodes, liver, lungs, bones, and bone marrow.
It is often discovered when a parent or doctor feels an unusual mass or lump somewhere in the body of a young child’s body. These appear most often in the abdomen, though tumours can also appear in other places, like the pelvis, neck and chest area.
SIGNS AND SYMPTOMS OF NEUROBLASTOMA IN CHILDREN
The effects of Neuroblastoma can vary widely depending on where the disease first started and how much it has spread to other parts of the body.
The first symptoms are often vague and may include irritability, fatigue, loss of appetite, and fever. But because these early warning signs can develop gradually and mimic those of other common childhood illnesses, Neuroblastoma can be difficult to diagnose.
Most Common Signs of Neuroblastoma
- a swollen stomach, abdominal pain, and decreased appetite (if the tumour is in the
abdomen) - bone pain or soreness, black eyes, bruises, and pale skin (if the cancer has spread
to the bones) - weakness, numbness, inability to move a body part, or difficulty walking (if the cancer
presses on the spinal cord) - drooping eyelid, unequal pupils, sweating, and red skin, which are signs of nerve
damage in the neck known as Horner’s syndrome
The most common signs of Neuroblastoma are caused by the tumour pressing on nearby tissues as it grows or by the cancer spreading to other areas. These signs vary depending on how much the cancer has grown and where it has spread.
STAGING
Staging is a way to describe a cancer; like location, if or where it has spread to, and whether it affects other parts of the body. There are two staging systems for Neuroblastoma:
The International Neuroblastoma Staging System Committee (INSS)
Stage 1: The tumour can be removed completely during surgery. Lymph nodes removed during surgery may or may not contain cancer, but other lymph nodes near the tumour do not.
Stage 2A: The tumour is located only in the area it started and cannot be completely removed during surgery. Nearby lymph nodes do not contain cancer.
Stage 2B: The tumour is located only in the area where it started and may or may not be completely removed during surgery. Nearby lymph nodes contain cancer.
Stage 3: The tumour cannot be removed with surgery. It has spread to regional lymph nodes (lymph nodes near the tumour) or other areas near the tumour, but not to other parts of the body.
Stage 4: The original tumour has spread to distant lymph nodes (lymph nodes in other parts of the body), bones, bone marrow, liver, skin, and/or other organs (except for those listed in stage 4S, below).
Stage 4S: The original tumour is located only where it started (as in stage 1, 2A, or 2B), and it has spread only to the skin, liver, and/or bone marrow (in infants younger than one). The spread to the bone marrow is minimal (usually less than 10% of cells examined show cancer).
The International Neuroblastoma Risk Group Staging System (INRGSS)
The INRGSS was recently designed specifically for the newly developed International Neuroblastoma Risk Group (INRG) pre-treatment classification system. The INRGSS only uses the results of imaging tests taken before surgery and does not include surgical results or spread to lymph nodes to determine the stage.
Stage L1: The tumour is located only in the area where it started; no risk factors found on imaging scans, such as CT or MRI.
Stage L2: The tumour has not spread beyond the area where it started and the nearby tissue; risk factors are found on imaging scans, such as CT or MRI.
Stage M: The tumour has spread to other parts of the body (except stage MS, see below).
Stage MS: The tumour only has spread to the skin, liver, and/or bone marrow.

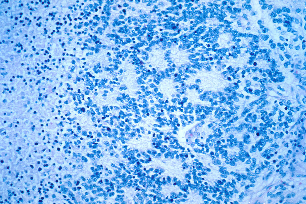
Shown is a microscopic view of a typical neuroblastoma with rosette formation. Magnified x40. Source: Dr. Maria Tsokos, National Cancer Institute – Wikipedia.
TREATMENT
Treatment of Neuroblastoma depend on the child`s age, the tumour`s size and position, the tumour biology (including the MYCN status) and whether the Neuroblastoma has spread.
Surgery
For tumours that have not spread (localised tumours), the treatment is usually surgery. If the tumour is at an early stage and there’s no evidence that it has spread to the lymph nodes or any other parts of the body, an operation to remove the tumour, or as much of it as possible, will be done.
A cure is usually possible for children with localised tumours. However, if the tumour is classed as high-risk due to the tumour biology results, further treatment with chemotherapy and possibly radiotherapy will be needed. If the tumour is, at first, too large or in too difficult a position to remove safely, chemotherapy will be given to shrink it before surgery.
Chemotherapy
If the tumour has already spread by the time of diagnosis, or is indicated as being high-risk by the tumour biology result, intensive chemotherapy is needed. Chemotherapy is the use of anti-cancer (cytotoxic) drugs to destroy cancer cells. It’s usually given as a drip or injection into a vein. Your child’s specialist will discuss with you the type and amount of chemotherapy needed.
High-dose chemotherapy with stem cell support
If the Neuroblastoma has spread to several parts of the body, or is high-risk with MYCN amplification, high-dose chemotherapy with stem cell support is used after the initial courses of chemotherapy. High doses of chemotherapy wipe out any remaining Neuroblastoma cells, but they also wipe out the body’s bone marrow, where blood cells are made.
To prevent the problems this causes, stem cells (blood cells at their earliest stages of development) are collected from your child through a drip before the chemotherapy is given. These stem cells are then frozen and stored. After the chemotherapy, the stem cells are given back to your child through a drip. They make their way into the bone marrow, where they grow and develop into mature blood cells over a period of 14-21 days.,
Monoclonal antibody treatment
Monoclonal antibodies can destroy some types of cancer cells while causing little harm to normal cells. A new monoclonal antibody treatment called anti-GD2 is currently being tested in people with high-risk Neuroblastoma.
Children in the UK with high-risk Neuroblastoma are being given anti-GD2 as part of a clinical trial. There is good evidence from a clinical trial carried out in America in 2009 that this may be a promising therapy when given alongside other standard treatment for Neuroblastoma. It is not yet a standard treatment though, due to the very unpleasant side effects.
Radiotherapy
External radiotherapy may be given if the Neuroblastoma is high-risk, or has spread to several parts of the body. This uses high-energy rays to destroy the cancer cells, while doing as little harm as possible to normal cells. External radiotherapy is given from a machine outside the body. Internal radiotherapy may sometimes be given using radioactive MIBG. Radioactive MIBG is similar to the MIBG used in an investigation to diagnose a Neuroblastoma, but uses higher doses of radioactivity to kill the cancer cells.
Immunotherapy
The immune system is made up of white blood cells and the organs and tissues of the lymph system, like bone marrow. Its main job is to help the body fight off disease and stay healthy. Immunotherapy drugs help your immune system work harder or make it easier for it to find and get rid of cancer cells. Some cancers don’t respond well to radiation or chemotherapy, but start to go away after Immunotherapy.
Benefits of Immunotherapy: It can help other cancer treatments work better, causes fewer side effects than other treatments, and the cancer may be less likely to return. When you have Immunotherapy, the immune system learns to go after cancer cells if they ever come back, and could help you to stay cancer-free for a longer time.
It isn’t a quick fix. In some cases, Immunotherapy takes longer to work than other treatments, the cancer may not go away quickly, and it also doesn’t work for everyone. Over time, Immunotherapy may stop having an effect on the cancer cells – even if it works at first, the tumor could start growing again. – Pros and Cons of Immunotherapy.
Younger children
Children under 18 months old with Neuroblastoma often have low-risk tumours, and as long as there is no MYCN amplification, their outlook is good. Most children in this age group are cured. Children with stage 4S disease almost always get better with very little treatment or none at all. These tumours either regress spontaneously or after chemotherapy, which is only given if the tumour is causing symptoms. They disappear completely or develop into a noncancerous (benign) tumour, called a ganglioneuroma.
Many of these children, after their initial diagnostic tests and staging investigations, will just need careful monitoring for some years. Ganglioneuromas are usually harmless and will not cause any problems or need any treatment.
Sources: Wikipedia.org, CANSA Fact Sheet on Childhood Neuroblastoma, WebMD Medical Reference, Cancer.Net’s Guide to Neuroblastoma – Childhood.
